自2016年IEES 1.0推出以来,英放生物能够为每个客户定制满足临床试验需求的电子阅片系统。经过数百个项目的实践积累和技术沉淀,系统通过不断的优化与迭代,IEES2.0于23年底正式推出。该系统不仅继承了IEES1.0的优秀特性,更持续引入了创新性功能,以提高影像学评估相关终点的评价质量。
近日,IEES2.0系统即将上线一项重要功能——医学影像AI智能辅助分割/勾画功能。该功能结合了先进的深度学习算法和图像处理技术,能够快速而准确地识别医学影像中的各种器官和靶病灶,并精确勾画出其轮廓和边界。我们坚信,随着该功能的推出,将为阅片专家提供全新的阅片辅助工具,显著提升阅片效率和阅片结果的准确性。
目前,英放生物项目团队和研发团队合作训练的AI神经网络模型,可以识别的疾病包括:视神经脊髓炎、脑胶质瘤等。通过不断的训练和调优,模型能够识别疾病的种类、靶病灶识别的准确性将持续完善和提升。
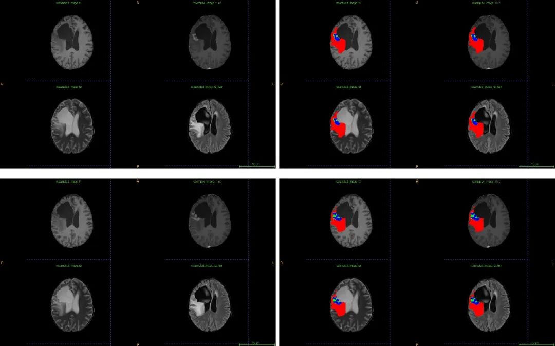
值得一提的是,IEES2.0系统的医学影像AI智能辅助分割/勾画功能在脑胶质瘤的识别和勾画方面取得了重大突破,这一直以来都是医学影像领域的一大挑战。脑胶质瘤是一种源自神经胶质细胞的恶性肿瘤,由于其位置深处、边界模糊、与周围组织的交织以及侵袭性生长等特点,常常导致阅片专家在诊断时困难重重。然而,借助IEES2.0系统的AI智能辅助分割/勾画功能,使研究者能够清晰地界定脑胶质瘤的边界,并精确勾画出肿瘤的范围,从而为诊断提供了有力支持。
红色代表水肿, 绿色代表液化坏死, 蓝色代表强化部分
英放生物的IEES2.0系统不仅提高了医学影像诊断的准确性和效率,也为研究人员提供了强大的AI辅助工具,进一步推动了医学影像CRO行业的快速发展。该系统和AI智能辅助分割/勾画功能的上线,同时也标志着英放生物在医学影像领域的持续创新和领先地位。
作为中国医学影像领域的领先者,英放生物将持续致力于技术创新和服务优化,为申办方提供更精准、高效的新药研发支持,助力医药产业实现更大的突破。







首页
影像服务
电话咨询
留言